


同等级
比埃博拉病毒更强大,换个形容词就是更危险。那么怎样评判一个病毒危不危险呢?死亡率高、传染性大、抵抗力强或无药可医应该都算是危险,医学界一般使用生物安全等级来对这些病原体来进行分级。
生物安全等级,英文叫做Biosafety Level (BSL),分为BSL1~BSL4一共四级,BSL1最安全,BSL4最危险。操作麻疹病毒等比较安全的病原体可以在BSL1实验室里进行,这样的实验室不需要专门的安全柜。而像埃博拉这样极度危险的病毒必须在BSL4实验室里进行,这种等级的实验室里的科研人员几乎是全副武装,附一张图片让大家感受一下,这里是美国德克萨斯生物医学研究所的BSL4实验室。

(Texas Biomedical Research Institute)
根据中国卫生部发布的《人间传染的病原微生物名录》,培养肠道病毒只需在BSL2实验室进行,培养SARS病毒需要在BSL3实验室进行。而像培养埃博拉这样的致死性极高的病毒,必须在最高等级的BSL4实验室里进行,有同样要求的病原体有天花病毒、马尔堡病毒等20种病毒。

因此从这个角度看,这20种病毒和埃博拉是同级的。
更强大
埃博拉病毒固然非常危险,但是在某些方面,它并不如我们耳熟能详的其它一些病毒。
死亡率
埃博拉病毒之所以可怕,是因为它导致的埃博拉出血热有高达90%的死亡率。然而,在病毒界里,这个数据并不是最高的,古往今来,死亡率最高的是大名鼎鼎的狂犬病毒。
狂犬病毒是一种嗜神经病毒,主要影响中枢神经系统。人一旦得了狂犬病,会表现出恐水、畏光、吞咽困难、狂躁等症状,最后死于呼吸、循环和全身衰竭,患者几乎100%死亡,病死率是所有传染病中最高的,全球迄今为止目前仅有5例报告发病后幸存的,但是5名患者的预后也很差,有的换上了严重的后遗症,有的在数年之后也死亡了。
庆幸的是,狂犬病有疫苗可以预防,并且这个疫苗是人类医学史上最强大的疫苗之一。健康个体在完成WHO推荐的免疫接种程序后,从无一例患上狂犬病。狂犬病毒和狂犬疫苗,这是一个100%和另外一个100%的对抗。
病死人数
如果给人类历史上杀人数量最多的病毒排个名次的话,埃博拉连Top20都进不了。从1976年在刚果发现到今天,埃博拉导致了三千多人死亡——这个数字仅相当于1918年西班牙流感导致的死亡人数的0.01%左右。那场全球性的大流感波及了大约10亿人,杀死的人数比第一次世界大战中死亡的人还要多。
而比流感的杀伤力更惊人的,则是在东方西方都爆发过很多次的鼠疫。根据记载,仅仅公14世纪爆发的欧洲鼠疫大流行,就杀死了7500万人——当时全世界也不过4.5亿人。不过鼠疫并非病毒引起的,而是鼠疫杆菌引起的,因此跟埃博拉病毒并不是同一类病原体,两者没有太大的比较性。
抵抗力
这里的抵抗力指的是病毒对于物理、化学以及生物等多种条件下的耐受能力。大部分病毒的耐受能力都是比较弱的,比如我们熟知的艾滋病病毒(HIV)以及之前提过致死率极高的狂犬病毒,在体外生存力极差,在56℃下只需半小时就失去活性;而埃博拉病毒的耐热性会强一些,在60℃下需要一小时才会失去活性。这些病毒在紫外线的照射下都会迅速失活,甲醛等化学试剂也能完全杀死这些病毒。
但有一个病毒是个例外——朊病毒
朊病毒又称朊蛋白(Prion),严格来说它并非病毒。学过高中生物的人都知道,病毒的基本结构是一段核酸外面包裹着蛋白质外壳,而朊病毒仅仅有蛋白质结构,不含核酸。基于这个原因,朊病毒是否算作生命在生物学界也引起过较大争论,因为科学家们普遍认为核酸是生命繁衍的基础。鉴于篇幅限制,这个问题在这里暂时不讨论。
朊病毒特殊的结构赋予了它惊人、甚至可谓之奇葩的抵抗力。朊病毒耐高温,加热到360℃仍有感染力;朊病毒耐高压,一般消毒神经外科手术器械用的高压灭菌器对它没辙;朊病毒抗多种化学试剂,甲醛、强碱等无法灭活它;朊病毒抗多种物理消毒方式,紫外线、γ射线表现出很强的抵抗力;甚至作为一种蛋白质,很多蛋白酶居然无法破坏它——总而言之,朊病毒大概是医学史上最无解的一种病原体。
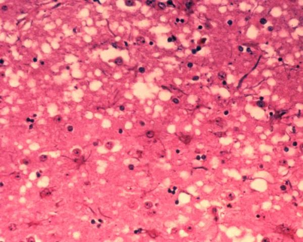
朊病毒主要破坏神经系统,引起神经退行性疾病,比如之前引起全世界恐慌的疯牛病。这里顺便再说说朊病毒很牛逼的一点,就是可以跨物种传播,并且能在传播过程中适应不同的宿主,并进行演化使更多动物致病。——从某种角度说,这就是生命的进化。朊病毒不仅能感染众多物种,而且能够欺骗所有宿主的免疫系统。人体内上有种蛋白质叫做PrPC,PrPC主要在大脑中表达,具有保护神经元的作用。朊病毒具有PrPC一模一样的氨基酸序列,两者的区别只是空间构象有所不同,因此免疫系统无法识别朊病毒,对其无能无力,即便朊病毒慢慢堆积并不断破坏神经元。而人类一旦发病,死亡率为100%。

(朊病毒引起的大脑海绵状空洞,图片转自维基百科。)
这么屌炸天的一个病毒,之所以没有杀死太多的人,只是因为它的传播途径比较有限——朊病毒无法通过空气和水源传播,这大大限制了它的感染范围,一般的感染方式主要有遗传、医源性感染以及食用人肉(比如某些部落由于吃故去亲人的肉导致的库鲁病)。一旦朊病毒像游戏“瘟疫公司”那样可以进化传播属性(当然从生物学的角度来说可能性极小),比如增加水源传播、空气传播等任意一个途径,那么人类将陷入一场远比埃博拉疫情严重的世纪灾难。

朊病毒不是病毒。朊病毒是病毒之王。
您的报价需求已收到


